Revista da Faculdade de Ciências Odontológicas   Marília/SP, ano 2 , n°2, 1999 ISSN 1516-5639
     

COMPORTAMENTO DA POLPA DE DENTES DE CÃES APÓS CAPEAMENTO E PULPOTOMIA COM O SANKIN TIPO II

BEHAVIOUR OF DOG'S DENTAL PULP CAPPING AND PULPOTOMY WITH
SANKIN II

Roberto HOLLAND*
Valdir de SOUZA*
Mauro Juvenal NERY**
José Arlindo OTOBONI FILHO**
Pedro Felício Estrada BERNABÉ**


Vários materiais tem sido empregados na proteção direta da polpa dental. Dentre eles a hidroxiapatita e os fosfatos de cálcio têm sido objeto de alguns estudos. Contuáo, os resultados divulgados são muito contraditórios. O propósito deste estudo foi de estudar o comportamento da polpa dental exposta, protegida com o produto SankinII, um material à base de fosfato tricálcico e hidroxiapatita. Polpas de dentes de 2 cães foram expostas experimentalmente ou submetidas à pulpotomia e protegidas com o referido produto. Noventa dias após o tratamento as peças foram removidas e processadas para análise histomorfológica. Os dados obtidos mostraram resultados ruins, com polpas inflamadas ou necrosadas, sem ponte de dentina.

UNITERMOS: Polpa dental; Capeamento; Pulpotomia; Fosfato tricálcico; Hidroxiapatita.



   INTRODUÇÃO

A hidroxiapatita e alguns fosfatos de cálcio têm sido empregados experimentalmente, como uma~, alternativa à utilização do hidróxido de cálcio, na proteção direta do tecido pulpar. Uma das primeiras experimentações com esses materiais foi desenvolvida em dentes de macacos por HELLER et al.7 (1975). Eles fizeram pulpotomias e protegeram o remanescente pulpar com fosfato tricálcico cerâmico, com partículas de 149 pm, tendo 0 hidróxido de cálcio como controle. Notaram melhores resultados com o emprego do fosfato de tricálcico. No entanto, o tecido duro depositado era representado por calcificações aberrantes entremeadas de vasos sangüíneos. Os autores questionam sobre a dificuldade a ser superada diante da necessidade futura de um tratamento endodôntico. Esse mesmo produto foi posteriormente testado também em dentes de macacos, por BOONE; KAFRAWY,3 em 1979. Esses autores notaram que 45% das polpas necrosaram. Em casos de presença de pontes, elas eram incompletas e com aparência de "queijo suíço". Os autores não recomendam o uso clínico do material. HEYS et al.8( 1981 ) expuseram polpas de macacos experimentalmente e as capearam com diferentes materiais, dentre eles o produto Synthos e o fosfato Tricálcico. Oito semanas após, notaram que a grande maioria dos espécimes exibiu ausência de ponte de tecido duro, severa reação inflamatória e alguns casos de necrose. Os produtos à base de hidróxido de cálcio evidenciaram resultados bem melhores. Já JEAN et al.12 (1988), empregando fosfato Tricálcico associado à hidroxiapatita, em dentes de porcos, relatam ter observado ponte de dentina com deposição mais rápida e mais espessa que a do hidróxido de cálcio. Em 1989, NOGUCHI13 observou, em dentes humanos, osteodentina bem compacta como também dentina tubular, quando era empregada a hidroxiapatita cerâmica.
Em 1990, FRANK6 estudou o efeito do tamanho das partículas da hidroxiapatita, quando implantadas em lesões periodontais ou protegendo polpas humanas. O produto estudado possuía as dimensões de 146 a 47 um ou 38 a 16 um. Nos dentes humanos, o autor notou com as micropartículas uma calcificação contínua, com a presença parcial de dentina tubular. CHOHAYEB et al.5 ( 1991 ) protegeram polpas de cães com fosfato tricálcico, isolado ou associado ao hidróxido de cálcio. Com o fosfato tricálcico notou formação de ponte de tecido duro, porém com grande infiltrado inflamatório. SOARES14 ( 1992) protegeu polpas humanas com hidroxiapatita. Aos 30 dias, de quatro casos tratados notou formação de tecido duro em apenas um. JABER et al.11 ( 1992) capearam polpas de ratos com hidroxiapatita (Osteogen) ou com Dycal. Notaram em quase todas as polpas formação de tecido duro, mas pontes completas ou quase completas ocorreram mais freqüentemente com o Dycal. Pelo fato de terem observado extensas áreas de calcificação distrófica, os autores contraindicam o emprego do produto.
ARAGONES1( 1993) realizou pulpotomia em dentes humanos e protegeu os remanescentes pulpares com hidroxiapatita ( 10 a 50 um) em pó ou em pasta. Aos 40 dias notou formação de uma matriz de tecido osteodentinário, mais regular no grupo com pasta. Em alguns casos a matriz calcificada atingiu as proximidades do terço apical. YOSHIMINE; MAEDA16 ( 1995) capearam polpas de incisivos de ratos com fosfato tetracálcico (7 um), usando como veículo o ácido poliacrílico e o ácido cítrico. Observaram, aos 10 dias, que o material estimulou a formação de tecido duro. Sugerem sua utilização como novo tipo de agente capeador. YOKOSUKA; KAWASAK15 ( 1996) capearam polpas de macacos com fosfato tricálcico, (4 um) ou hidroxiapatita (3 um). Notaram com ambos materiais formação de ponte de tecido duro. HIGASHI; OKAMOTO10 ( 1996) fizeram pulpotomias em dentes de cães, protegendo as polpas com hidroxiapatita ou fosfato tricálcico f3 em dois tamanhos diferentes de partículas (300 e 40 um). Com a hidroxiapatita 300 notaram a formação de barreiras mineralizadas em 8 dos 17 dentes analisados, enquanto que com o fosfato tricálcico 300 ocorreram 11 pontes dentre os 17 espécimes. Ambos materiais, com partículas de 40 um, exibiram pontes pobres e inflamação em todos os casos. Os autores concluem que o tamanho da partícula é um fator importante, pois partículas pequenas não deixam espaço entre elas para a migração e invaginação de tecido.
Diante do exposto, depreende-se que o assunto é interessante, porém os resultados da literatura são bastante contraditórios e dizem alto da necessidade de novos estudos sobre o tema. Esse é o objetivo deste trabalho.
·

   MATERIAL E MÉTODO

Foram empregados neste trabalho 30 dentes de 2 cães adultos jovens, sem raça definida. Sob anestesia geral, obtida com solução de nembutal sódico a 3%, procedeu-se ao polimento coronário dos dentes em estudo.
Após isolamento absoluto com dique de borracHa, os dentes foram submetidos à antissepsia e preparo de cavidades na borda oclusal dos pré-molares e face vestibular dos espécimes anteriores. As cavidades foram preparadas com pontas diamantadas movimentadas em alta rotação e aprofundadas até que, por transparência, a cor rósea avermelhada da polpa pudesse ser visualizada. A seguir, com uma broca esférica n° 1 expunha-se o tecido pulpar, suavemente, sem permitir sua penetração profunda. A hemorragia decorrente foi contida com abundante irrigação com soro fisiológico e secagem com bolinhas de algodão.
A porção exposta do tecido pulpar foi, então, protegida com uma camada do produto Sankin tipo II (Sankin Industry Co. Ltda. Osaka - Japão). Esse material possui a seguinte composição: pó - fosfato tricálcico 56%; hidroxiapatita 14%; iodofórmio 30%; líquido - ácido poliacrílico 25% e água 75%.2 Isso feito, a cavidade de acesso foi selada com um cimento à base de óxido de zinco e eugenol.
Para a realização da pulpotomia o acesso à câmara pulpar também foi efetuado pela borda oclusal nos pré-molares e face vestibular nos dentes anteriores. Removido todo o teto da câmara pulpar, a polpa coronária foi eliminada com o auxílio de pontas diamantadas esféricas e curetas bem afiadas. Controlada a hemorragia por meio de irrigações com soro fisiológico, o remanescente pulpar foi protegido com uma camada do produto em estudo, sendo a cavidade de acesso também selada com óxido de zinco e eugenol.
Decorridos 90 dias, os animais foram sacrificados e as peças removidas para estudo, fixadas em solução neutra de formalina a 10%. Após descalcificação em ácido fórmico-citrato de sódio, os espécimes foram incluídos em parafina, cortados seriadamente com 6 micrometros de espessura e corados pela hematoxilina e eosina.

   RESULTADOS

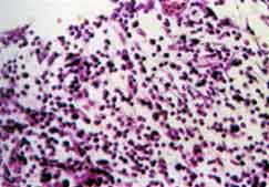
Capeamento. Entre os 15 casos de capeamento, foi observada vitalidade pulpar apenas em 6. Em nenhum desses casos notou-se formação de ponte de tecido duro, mas tão somente neoformação de dentina nas paredes laterais à área de exposição (Figuras 1 a 5).em um dos casos estava presente um fragmento de dentina na superfície exposta da polpa (Figura 1 ). Junto a esse fragmento podiam ser visualizados dentina e odontoblastos neoformados (Figura 2). Os dentes com polpas vitais exibiam, ainda, intenso processo inflamatório do tipo crônico, estando presentes linfócitos, plasmócitos e macrófagos (Figuras 3 e 5). Os dentes com polpas necrosadas exibiam resíduos desse tecido espalhados pela câmara pulpar e canal radicular (Figura 6). Junto ao periápice do dente, notou-se intenso processo inflamatório do tipó crônico, dilatação do espaço periodontal, microabscessos e pequenas áreas ativas ou não de reabsorção radicular (Figura 7).

Figura 1 - Capeamento - Observar polpa vital com inflamação crônica e fragmento de dentina no local da exposição. Há dentina neoformada nas paredes laterais à exposição. H.E. 40X
Figura 2 - Maior aumento da figura anterior detalhando dentina tubular e odontoblastos neoformadosjunto ao fragmento de dentina. H.E. 200X
Figura 3 - Maior aumento da figura 1 mostrando o intenso infiltrado inflamatório do tipo crônico presente. H.E. 400X
     
Figura 4 - Capeamento - Notar ausência de ponte de tecido
duro e dentina neoformada lateralmente. H.E. 40X
Figura 5 - Maior aumento da figura anterior detalhando o infiltrado inflamatório do tipo crônico na supe~cie exposta do tecido pulpar. H.E. 400X
     
 
Figura 6 - Capeamento - Necrose do tecido pulpar. H.E. 40X
 
Figura 7 - Capeamento -Ápice do mesmo dente da figura anterior. Notar intenso e extenso processo in(lamatório do tipo crônico. microabscesso e áreas de reabsorções radiculares. H.E. 40X

Pulpotomia. Todos os espécimes submetidos a essa técnica de tratamento exibiram polpas necrosadas. Na maioria dos casos toda a polpa estava necrosada, sendo apenas visíveis fragmentos desse tecido espalhados pelo canal radicular (Figura 8). O espaço periodontal apical estava bastante dilatado e preenchido por intenso processo inflamatório do tipo crônico, com a presença de linfócitos, plasmócitos e macrófagos. Microabscessos também se fizeram presentes, notadamente próximos aos canais do delta apical do dente. Reabsorçôes radiculares, ativas ou não, foram comumente observadas (Figura 9). Alguns casos ainda exibiam tecido vital no terço apical do canal radicular. Esse tecido era constituído por fibroblastos, vasos sangüíneos hiperemiados e intenso processo inflamatório do tipo crônico (Figuras 10 a 12). Na parte mais superficial desse tecido havia infiltrado mentrofílico. Os tecidos periapicais desses dentes exibiram aspecto semelhante ao já descrito para os demais casos (Figuras 10).


   DISCUSSÃO


Neste trabalho, a maioria das polpas capeadas mostrou-se necrosada, enquanto que as que ainda exibiam vitalidade estavam inflamadas e sem ponte de tecido duro.

Figura 8 - Pulpotomia - Necrose total do tecido pulpar. H.E. 40X
Figura 9 - Pulpotomia - Notar intenso e extenso processo inflamatório do tipo crônico, microabscessos e reabsorções do ápice dental. H.E. 40X
Figura 10 - Pulpotomia - Aspecto similar ao da figura anterior. contudo, há tecido vital no terço apical do canal radicular. H.E. 40X
     
Figura 11 - Maior aumento da figura anterior. Observar detalhe do tecido intraçanal com vaso hiperemiado. fibroblastos e intenso processo inflamatório do tipo crônico. H.E. 400X
Figura 12 - Maior aumento da figura 10. interior do canal. Presença de intenso processo inflamatório do tipo crônico. H.E. 400X


Todos os espécimes onde se efetuou pulpotomia possuíam polpas necrosadas, parcial ou totalmente. Esses resultados não respaldam alguns dos relatos da literatura, talvez pela diferente composição do material estudado. BILGINER et l.2 ( 1997) analisaram a biocompatibilidade do cristal de apatita Sankin tipo I, II e III, em subcutâneo de ratos. Observaram que os produtos II e III eram mais biocompatíveis que o I e que o cimento de Grossman. A despeito das divergências de resultados encontrados na literatura, parece que esses fosfatos de cálcio merecem mais detalhados estudos com o objetivo de conhecer melhor seus mecanismos de ação, bem como definir com precisão a característica do material a ser empregado. Aparentemente são muitas as variáveis que podem influenciar o resultado obtido, principalmente em função da composição do material empregado. Segundo JABER et al11 (1992), a hidroxiapatita é oferecida em três formas: porosa, não porosa e reabsorvível. É também disponível na forma de partículas ou bloco sólido. Soma-se à essas variáveis o tamanho das partículas. HIGASHI; OKAMOTO9 ( 1996) analisaram a influência do tamanho da partícula da hidroxiapatita, cerâmica porosa e densa com 300 ou 40 um, na proliferação de cultura de fibroblastos. Observaram melhor crescimento de células com a hidroxiapatita densa e com 300 um. Segundo os autores, as partículas de 300 um são biocompatíveis, enquanto as de 40 são possivelmente consideradas pelo tecido como um corpo estranho e então rejeitadas.
CHAN et al.4 ( 1997) relatam que investigadores do Centro de Pesquisas da Fundação de Saúde da Associação Dental Americana desenvolveram um novo cimento de fosfato de cálcio, o qual é uma mistura de dois compostos de fosfato de cálcio, um ácido e outro básico. Quando misturado com uma solúção aquosa, o produto endurece formando uma massa dura. O produto, completamente endurecido, tem uma composição e estrutura similar à do dente e osso. Ele consta de um fosfato de cálcio básico, o fosfato tetracálcico e o fosfato de cálcio ácido, que pode ser o fosfato de cálcio dihidratado ou fosfato dicálcico anidro. A reação que ocorre tem como produto final a hidroxiapatita. A água é meramente um veículo para a dissolução dos reagentes e precipitação do produto.
Queremos crer, diante dos dados da literatura, que o emprego dos fosfatos de cálcio como elemento protetor direto da polpa exposta é ainda um tema a ser mais bem definido e analisado. Parece inquestionável que determinadas formulações estimulam a neoformação de tecido duro na polpa dental. Alguns problemas, no entanto, necessitam ser superados, como é o caso de calcificações aberrantes e pontes entremeadas de tecido conjuntivo. Um acontecimento dificultaria a realização futura de tratamento endodôntico enquanto que o outro seria responsável pela fragilidade de proteção diante de uma percolação com penetração de bactérias.

   CONCLUSÃO

Diante das condições experimentais do presente trabalho nos parece lícito concluir que:
1. O produto comercial Sankin Tipo II não propiciou nenhum caso de reparo nas polpas dentais capeadas ou submetidas à técnica da pulpotomia;
2. Com o capeamento pulpar observaram-se alguns casos de polpas vitais, porém com intenso processo inflamatório do tipo crônico;
3. Nos casos de pulpotomias as polpas exibiram-se necrosadas, parcial ou totalmente;
4. Todos os casos de polpas necrosadas exibiram reação periapical com intenso e extenso processo inflamatório do tipo crônico;
5. Os resultados obtidos desaconselham o emprego do Sankin tipo II para a proteção direta do tecido pulpar.



Several materials have been employed in the direct protection of the exposed dental pulps. Among them, hydroxyapatite and calcium phosphates have been object of some studies. However, the reported results are very contradictory. The subject of this paper is to study' the behaviour of exposed dental pulps to direct protection with SankinII, a material with tricalcium phosphate and hidroxyapatite. Dental pulps of 2 dogs were experimentally exposed or submitted to pulpotomy and protection with the studied product. Ninety days later the pieces were removed and prepared for histological analysis. The obtained data showed bad results with necrosed or inflamed dental pulps and no dentin bridge.
UNITERMS: Dental pulp; Direct pulp capping; Pulpotomy; Tricalcium phosphate; Hydroxiapatite.



   REFERÊNCIAS BIBLIOGRÁFICAS


1. ARAGONES, A. Hidroxiapatita microgranular em pulpotomias de dentes permanentes de humanos. Bauru, 1993. Dissertação (Mestrado) - Faculdade de Odontologia, Universidade de São Paulo.
2. BILGINER, S. et al. The investigation of biocompatibility and apical microleakage of tricalcium phosphate based root canal sealers. J. Endod., v.23, p.105-9, 1997.
3. BOONE, M. E.; KAFRAWY, A. H. Pulp reaction to a tricalcium phosphate ceramic capping agent. Ora1 Surg. Oral Med. Oral Pathol., v.47, p.369-71 , 1979.
4.CHAN, J. Y. M. et al. An in vitro study of furcation perforation repair using calcium phosphate cement. J. Endod., v.23, p.588-92, 1997.
5. CHOHAYEB, A. A. et al. Pulpal response to tricalcium phosphate as a capping agent. Ora1 Surg. Ora1 Med. Oral Pathol., v.71, p.343-5, 1991.
6. FRANK, R. M. Structural and ultrastructural reactions of bone and pulp after bioceramic implantation. In: Congress of International Association of Oral Pathologists. Tokio, 1990.
7. HELLER, A. L. et al. Direct pulp capping of permanent teeth in primates using a resorbable form of tricalcium phosphate ceramic. J. Endod., v.l, p.95101, 1975.
8. HEYS, D. R. et al. Histological considerations of direct pulp capping agents. J. Dent. Res., v.60, p.1371-9, 1981.
9. HIGASHI, T.; OKAMOTO, H. Influence of particle size of hydroxyapatite as a capping agent on cell proliferation of cultured fibroblasts. J. Endod., v.22,
p.236-9, 1996.
10. HIGASHI, T.; OKAMOTO, H. Influence of particle s of calcium phosphate ceramics as a capping ag~ on the formation of a hard tissue barrier in amputa dental pulp. J. Endod., v.22, p.281-3, 1996.
11. JABER, L. et al. Reaction of the dental pulp hydroxyapatite. Oral Surg, Oral Med., Oral Pathol., v. p.92-8, 1992.
12. JEAN, A. et al. Effects of various calcium phosph biomaterials on reparative dentin bridge formatü J. Endod., v.14, p.83-7, 1988.
13. NOGUCHI, J. Ultrastructural study on t developmental process of the dentin bridge followi direct capping üsing hidroxyapatite ceram Tsurumi Shigaku, v. 15, p.63-86, 1989.
14. SOARES, M. S. M. Estudo microscópico em polpas dentes humanos submetidos à proteção direta c~ hidróxido de cálcio PA e hidroxiapatita sintética em~ Natal, 1992. Dissertação (Mestrado) - Faculdade Odontologia, Universidade Federal do Rio. Gran do Norte.
15. YOKOSUKA, T.; KAWASAKI, K. A histological stu on the application of adhesive resinous materi hydroxyapatite, 2-tricalcium phosphate and den chips in exposed monkey tooth pulp. Japan Conseru. Dent., v.39, p.807-32, 1996.
16. YOSHIMINE, Y.; MAEDA, K. Histologic evaluation tetracalcium phosphate-based cement as a dir~ pulp-capping agent. Oral Surg., Ora1 Med., Oral Pathi v.79, p.351-8, 1995.




* Professores do Curso de Pós-Graduação em Clínicas Odontológicas da UNIMAR, Marília - SP. Brasil.
** Professores da Faculdade de Odontologia da UNESP, Araçatuba - SP. Brasil

 

     
 

Volta